从“经验用药”到“精准定位”—AVS技术破解继发性高血压诊断难题
在追求医疗技术精准化、专业化的道路上,我院心内一科始终奋勇前行。近日,在科室佟勤红主任的悉心指导下,心内一科团队成功开展了一例针对继发性血压-原发性醛固酮增多症的双肾静脉采血(AVS)手术,标志着我院在继发性高血压诊断技术能力迈上新台阶,为复杂病症的规范化诊疗奠定了坚实基础。
原发性醛固酮增多症,作为继发性高血压的常见病因之一,因其隐匿性强、症状不典型,往往容易被误诊或漏诊。该病症主要由肾上腺皮质病变导致醛固酮分泌异常增多,进而引发一系列临床症状,如难以控制的高血压、低血钾等。若不能及时准确诊断,长期的高血压状态会对患者的心、脑、肾等重要器官造成不可逆的损害,严重影响患者的生活质量和健康寿命。
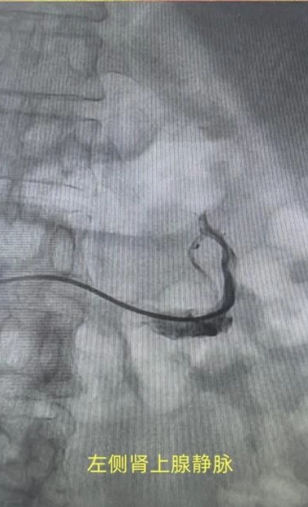
患者张xx,深受高血压困扰8年,血压却始终难以得到有效控制,本次入院前2天在家自测血压210/110mmHg,佟勤红主任带领团队对患者进行了全面、细致的评估后,高度怀疑患者为原发性醛固酮增多症。而双肾静脉采血,作为诊断该病手术治疗的“金标准”检查手段,能够通过精准检测双侧肾静脉血中醛固酮及肾素水平,明确肾上腺病变的侧别,从而为后续的个性化治疗方案制定提供关键依据。

手术当日,在佟勤红主任的精准指导下,心内一科手术团队凭借娴熟的操作技巧和丰富的临床经验,有条不紊地开展手术。从穿刺血管、置入导管到精准采集双侧肾静脉血,每一个步骤都严谨规范、环环相扣。整个手术过程顺利,患者生命体征平稳。目前,患者的血样已完成送检,确诊为单侧肾上腺腺瘤所致的原发性醛固酮增多症,患者可通过手术切除腺瘤,有望实现高血压的治愈。


此次双肾静脉采血手术的成功开展,意义深远。对患者而言,它如同一束光,照亮了康复之路,让饱受病痛困扰的身体看到了恢复健康的切实希望;而对于心内一科来说,这不仅是一次手术的顺利完成,更直观展现了科室在继发性高血压诊断与治疗领域技术的娴熟——从术前精准评估、术中精细操作到术后妥善管理,每一个环节都彰显着团队扎实的专业功底和丰富的临床经验,是科室技术实力稳步提升的有力证明。
未来,心内一科将以此次手术的成功开展为契机,继续提升在继发性高血压等复杂心血管疾病诊断和治疗方面的能力,进一步加强学科建设和人才培养,为更多患者提供更加精准、优质、高效的医疗服务,助力提升区域内心血管疾病的整体诊治水平。
科普:
高血压背后的隐藏"推手":这种病竟能被治愈!
您知道吗?每20个高血压病人中,就可能有1个是身体在"偷偷报警"!原发性醛固酮增多症(简称原醛症)是肾上腺这个"小零件"出了问题——它分泌了太多醛固酮激素,导致身体拼命"存盐排钾"。
这种病最狡猾的地方在于除了让人血压飙升,还会偷走体内的钾元素。患者可能出现爬楼梯没力气、晚上总起夜、甚至手脚发麻的情况。更危险的是,很多人光吃降压药效果不好,却不知道根本病因在这里。
好消息是,这种高血压可能被彻底治愈!医生通过抽血查"醛固酮/肾素比值"就能发现端倪(比值超过30就要警惕)。如果是肾上腺上长了个小疙瘩,微创手术就能解决问题;如果是整体变厚了,每天吃颗小药片也能控制。
提醒高血压朋友:如果您的血压特别难降,或者总觉得浑身没劲,一定要和医生说"查查原醛症"。早发现早治疗,说不定就能摆脱终身服药的困扰!
