心血管内科成功完成院内首例经皮肾动脉去交感神经消融术
9月7日,兰州市第一人民医院心血管内科团队在北大人民医院王伟民教授指导下,与导管室、麻醉科通力合作独立完成院内首例经皮肾动脉去交感神经消融术(Renal denervation,RDN),为1名青年难治性高血压患者进行了肾动脉去交感神经消融术降压治疗。此次手术的成功开展,标志着我院在高血压防治领域又迈上了一个新的台阶。



患者男性,34岁,高血压病史1年,因头晕、乏力1周入院。入院后监测血压180/126mmHg,积极行血钾、高血压五项、儿茶酚胺及其代谢产物、肾功能、肾动脉CTA、肾上腺CT等检查后,排除了继发性高血压,并予以利尿剂在内的4种降压药物最大剂量联合降压治疗,但效果不佳。依据国际及国内指南,确诊难治性高血压,且患者年轻,服药依存性差,治疗意愿强烈,完全符合 RDN手术适应证。


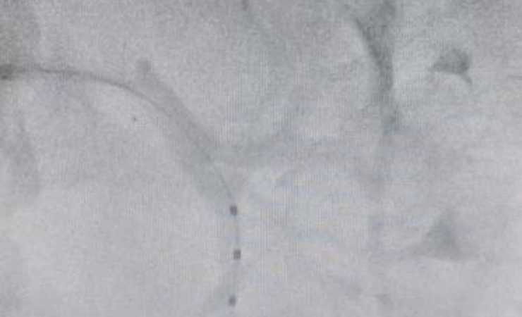
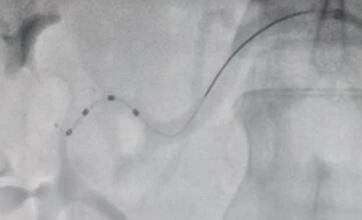
术前,副院长范晓涌,北大人民医院教授王伟民与心内科主任佟勤红及科室相关人员召开病例讨论会,决定对患者进行RDN高血压介入手术治疗。选择股动脉路径进行穿刺,在导丝引导下将Symplicity Spyral消融导管送至消融的部位并分别进行消融,消融双肾主干及分支部位65个点位,对双侧的肾动脉进行了全面、完整的消融。整个手术过程耗时1小时。消融后肾动脉无痉挛、狭窄、夹层等并发症,手术获得圆满成功。鉴于RDN治疗效果最佳观察期为术后3个月,故目前继续服用降压药物治疗,后续将对患者进行密切随访观察,根据血压情况进一步调整治疗方案。



RDN(经肾动脉去交感神经术)是一种高血压介入手术治疗方法,是近年来兴起的一种非药物治疗高血压的新技术。RDN高血压介入治疗利用低电量射频能量以降低交感神经活性,达到控制血压的目的,是继生活方式干预和药物治疗之后高血压治疗的“第三驾马车”。该技术不仅可以应用于难治性高血压,不愿服用降压药的非难治性高血压患者也可以使用。其具有创伤小、效果好、恢复快等优点,尤其适合顽固性高血压、药物不耐受、口服药物依存性差的患者。
未来,心血管内科团队将继续依托多学科协作,为更多难治性高血压患者提供精准、高效的个体化治疗方案,助力更多患者实现血压达标,降低心血管事件风险。
